Antena 3 CNN Actualitate Studiu: Cazurile de tumoare cerebrală s-au înmulţit de cinci ori în ultimii zece ani

Studiu: Cazurile de tumoare cerebrală s-au înmulţit de cinci ori în ultimii zece ani

1 minut de citit Publicat la 14:44 16 Feb 2011 Modificat la 14:44 16 Feb 2011
Studiu: Cazurile de tumoare cerebrală s-au înmulţit de cinci ori în ultimii zece ani
Foto: bio.davidson.edu
Romania se confrunta cu o adevarata explozie de tumori cerebrale in randul copiilor. Cazurile s-au inmultit de peste 5 ori în ultimul deceniu. Medicii sunt luati prin surprindere de rapiditatea cu care se dezvoltă tumorile dar si de varstele tot mai mici la care apar aceste celule anormale.
Aproape că e imposibil să-ţi imaginezi cum la numai o lună de la naştere un copil poate dezvolta o tumoră cerebrală. Se întâmplă însă...şi uimitor,  tot mai des în ultimii ani.

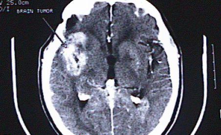
Dacă, în urmă cu câţiva ani, un neurochirurg găsea o tumoră cerebrală la câteva luni, acum identifică aproape săptămânal una pe tomografiile pacienţilor.

De la începutul anului acesta 2011 şi până în momentul de faţă au fost în total diagnosticate 18 cazuri. Neurochirurgii sunt alarmati de numarul foarte mare de tumori inregistrat in ultimil an, in special la varste foarte mici.

În general tumorile au crescut la toate vârstele  dar segmentul cel mai afectat este cel al copiilor. În special a celor 0 - 3 ani. Specific Romaniei este faptul că acestea sunt extrem de agresive, iar o "explozie" a lor s-a inregistrat in special la copiii mai mici de 16 ani

Unele chiar depăşesc posibilităţile operatorii , copilul este foarte mic, tumora este foarte mare şi tumora merge cu o rapididate formidabilă afectând întreg organismul .
 


Tumorile cerebrale sunt responsabile pentru 15% din cancerele la copii. Cum copiii mici deseori nu se plang de aceste simptome, parintii trebuie sa se bazeze pe observatiile lor pentru a le depista. In functie de tipul tumorii si de promptitudinea diagnosticului, rata de supravietuire la copii de cinci ani variază între 40 şi 80%.

Ştiri video recomandate
×
Etichete: tumoare bolnavi

Fanatik

Antena Sport

Observator News

Longevity Magazine

Parteneri
x close