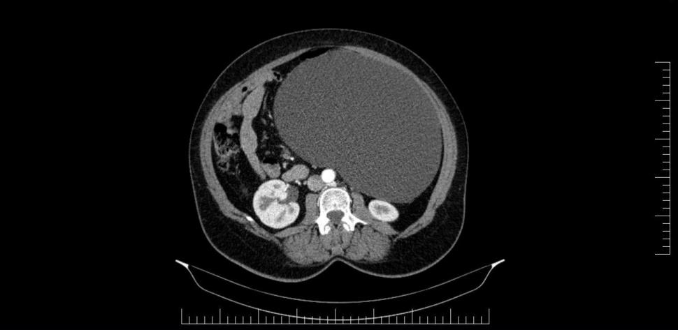
Potrivit reprezentanților Spitalului Militar de Urgență „Dr. Alexandru Augustin” din Sibiu, chistul ovarian de 4,5 kilograme a fost descoperit la o pacientă în urma unui consult ginecologic și a unor investigații în cadrul Laboratorului radiologie și imagistică medicală al Spitalului Militar de Urgență „Dr. Alexandru Augustin” din Sibiu.
Intervenția a fost realizată cu succes de Remus Maxim, medic primar obstetrică-ginecologie.
› Vezi galeria foto ‹
Existând suspiciunea de neoplasm, medicul din cadrul Compartimentului Ginecologie din Secția Chirurgie Generală a luat decizia de a extrage formațiunea chistică în întregime.
Ştiri video recomandate
