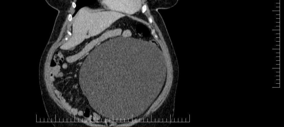
Chist ovarian de 4,5 kilograme, extirpat cu succes de la o pacientă la un spital din Sibiu
Publicat la 21:27 17 Mar 2023
Chist ovarian de 4,5 kilograme, extirpat cu succes de la o pacientă la un spital din Sibiu
Sursa foto: Facebook Spitalul Militar de Urgență „Dr. Alexandru Augustin” Sibiu Foto 1/2