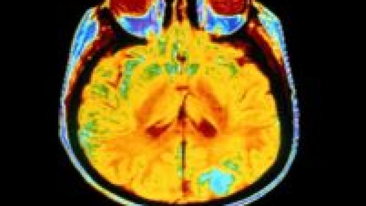
Profesorul Peter Collins, cel care a coordonat cercetările de la Universitatea Cambridge, a descoperit o secvenţă ADN modificată pe un eşantion de 44 scanări genetice ale astrocitelor policitice. Această rearanjare a creat o nouă genă, un hibrid format din două gene separate. Este pentru prima oară, când aceste fuziuni au fost asociate cu tumorile craniene. Profesorul Collins a declarat: "Dacă putem diagnostica exact ce tip de tumoare are un copil cât mai curând posibil, există mai multe şanse de a trata cu succes acea tumoare". El a mai adăugat că speră "ca aceste descoperiri să ducă la o nouă terapie în viitor, care să blocheze activitatea de fuziune a genei şi să oprească apariţia celulelor canceroase".
Ştiri video recomandate
