Anomalii pot fi observate în creierul supraviețuitorilor COVID-19 până la șase luni după recuperare, potrivit unei noi cercetări.
Echipa, condusă de oameni de știință de la Institutul Indian de Tehnologie din Delhi, a folosit un tip special de imagistică prin rezonanță magnetică (IRM) pentru a analiza modificările creierului cauzate de infecția cu SARS-CoV-2, virusul din spatele COVID-19, potrivit DCNews.
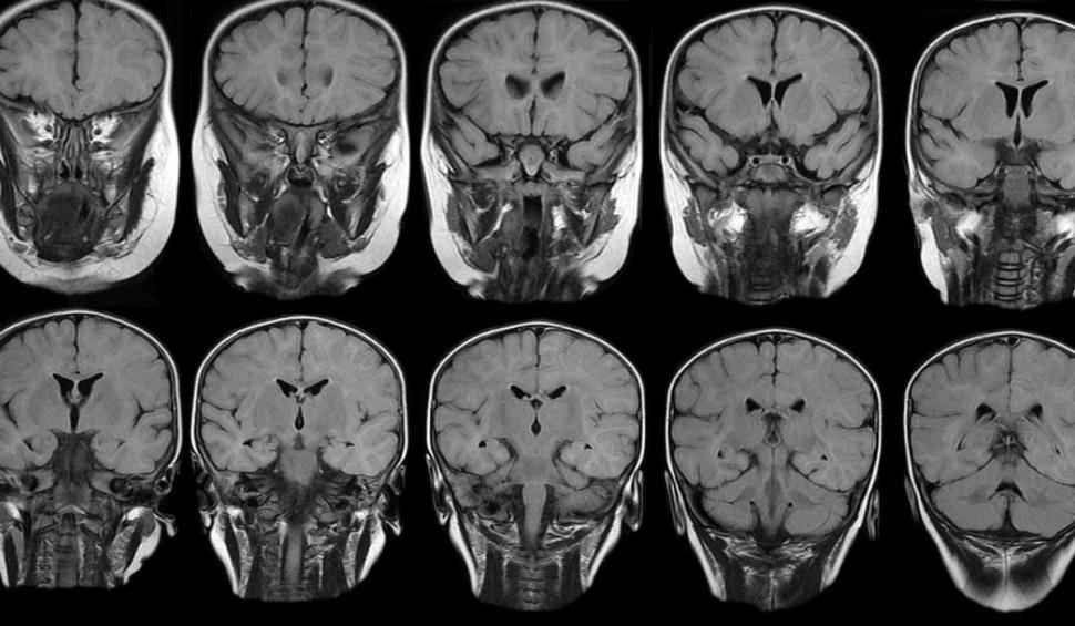
Imagistica ponderată cu sensibilitate (SWI) este o tehnică RMN relativ nouă. Funcționează profitând de răspunsurile diferite ale anumitor materiale din corp - cum ar fi componentele sanguine, calciul și fierul - atunci când sunt expuse la un câmp magnetic. SWI este deosebit de util pentru identificarea și localizarea hemoragiilor cerebrale, malformațiilor vasculare și tumorilor.
„Studiile la nivel de grup nu s-au concentrat anterior asupra modificărilor COVID-19 în susceptibilitatea magnetică a creierului, în ciuda mai multor rapoarte de caz care semnalau astfel de anomalii”, a declarat autorul studiului Sapna S. Mishra într-un comunicat.
„Studiul nostru evidențiază acest nou aspect al efectelor neurologice ale COVID-19 și raportează anomalii semnificative la supraviețuitorii COVID”, au mai spus cercetătorii.
Centers for Disease Control and Prevention (CDC) din SUA estimează că unul din cinci adulți infectați cu SARS-CoV-2 va prezenta unele simptome pe termen lung. O mulțime de cercetări au început să se concentreze asupra acestor efecte potențiale de durată, pe măsură ce tot mai mulți oameni se recuperează de COVID-19.
Modificări în plămâni, inimă și alte organe, și multe simptome de natură neurologică, la cei cu "Long COVID"
Studiile au raportat modificări în plămâni, inimă și alte organe, dar multe dintre simptomele raportate de cei cu COVID prelungit par a fi de natură neurologică, unde vorbim de efecte precum ceața cerebrală, durerile de cap, amețelile și chiar anxietatea și depresia.
Echipa a analizat datele imagistice de la 46 de persoane care s-au vindecat de COVID-19 în ultimele șase luni, comparând acestea cu datele de la 30 de persoane sănătoase. Dintre pacienții cu COVID prelungit, simptomele pe care le-au raportat cel mai frecvent au fost oboseală, tulburări de somn, lipsă de atenție și probleme de memorie.
Rezultatele au arătat că supraviețuitorii COVID au prezentat anomalii semnificative într-un număr de regiuni ale substanței albe din lobul frontal, inclusiv girul frontal inferior orbital stâng și drept.
„Aceste regiuni ale creierului sunt legate de oboseală, insomnie, anxietate, depresie, dureri de cap și probleme cognitive”, a spus Mishra.
Au existat, de asemenea, efcte în regiunea diencefalului ventral drept. Multe funcții esențiale sunt controlate de trunchiul cerebral. O relevanță deosebită pentru cercetările despre COVID prelungit este faptul că această regiune este asociată cu reglarea ciclului somn-veghe.
„Acest studiu indică complicații grave pe termen lung care pot fi cauzate de coronavirus, chiar și la câteva luni după recuperarea din infecție”, a mai spus Sapna S. Mishra.
Cercetătorii intenționează acum să întreprindă un studiu pe același grup de supraviețuitori COVID-19, pentru a vedea dacă aceste anomalii ale creierului sunt persistente pe perioade mai lungi de timp, conform IFL Science.
