Mark Zuckerberg spune că Meta a fost „presată” de administrația Biden să cenzureze conținutul legat de COVID-19 în 202127 Aug
Vaccinul combinat împotriva gripei și COVID-19, dezvoltat de Moderna, înregistrează rezultate bune la adulţii de 50 de ani şi peste10 Iun
Descoperiri noi privind efectele pe termen lung ale COVID-19: Poate cauza probleme de sănătate și după mai mulți ani de la îmbolnăvire03 Iun
AstraZeneca recunoaște în premieră, în documente judiciare, că vaccinul său anti-COVID poate provoca un efect secundar rar30 Apr
Kovesi o investighează pe Ursula von der Leyen pentru achiziția de vaccinuri anti-COVID | Procurorii europeni au preluat ancheta 01 Apr
SARS-CoV-2, găsit în sângele celor vindecați de Covid chiar și după un an de la infectare. Noile descoperiri despre coronavirus15 Mar
Un pacient german s-a vaccinat de 217 ori anti-COVID. Descoperirea medicilor, după ce i-au făcut analize05 Mar
Cel mai mare studiu de până acum privind vaccinarea anti-COVID a descoperit legături cu boli grave. Medic: "Aceste reacţii adverse există"25 Feb
România, dată în judecată de Pfizer pentru 560 de milioane de euro. S-a stabilit primul termen al procesului din Bruxelles01 Feb
România primește o ofertă din Polonia, după ce Pfizer a cerut țării noastre o sumă uriașă pentru vaccinurile neplătite | Avocat: "Apărare comună, dar cu echipe diferite"30 Ian
Medicii dintr-o țară europeană cer renunțarea la petrecerile de sărbători, din cauza COVID-19 | Adrian Marinescu: "Oricum avem infecțiile respiratorii de sezon!"15 Dec
O nouă variantă COVID, ”extrem de transmisibilă”! Cele opt simptome care îi îngrijorează pe medici22 Noi
Peste 2.000 de cazuri COVID confirmate zilnic, în România! Alexandru Rafila a anunțat ce se întâmplă cu măsurile de restricție19 Sep
Peste 7.000 de noi cazuri de COVID-19 și 14 decese, înregistrate în ultima săptămână în România12 Sep
Numărul românilor infectaţi cu COVID-19 s-a triplat în ultimele trei săptămâni | Ministerul Sănătăţii, recomandări pentru cei care au simptome30 Aug
"Totul se făcea noaptea": Într-un laborator ilegal din SUA s-au găsit şoareci modificaţi genetic cu scopul de a "se infecta şi de a împrăştia COVID-19"02 Aug
Pandemia COVID-19 s-a încheiat, oficial, în România! CNSU a decis încetarea stării de risc epidemiologic și biologic28 Iun
O nouă tulpină super-infecțioasă de Covid a ucis deja cinci oameni în Anglia. Arcturus este extrem de contagioasă24 Apr
Bulgaria distruge milioane de doze de vaccin împotriva COVID-19 | Câte ţări au mai luat această decizie05 Mar
Rapelurile vaccinurilor anti-COVID sunt utile, dar efectul durează puţin, arată cel mai recent studiu21 Feb
Toți pacienţii care ajung la Spitalul Judeţean Slatina sunt testaţi pentru COVID-19. Ce alte măsuri au luat medicii de la UPU09 Ian
Bolnavii de COVID-19 din Shanghai sunt tratați pe paturi puse în afara spitalului din cauza numărului tot mai mare de infectări05 Ian
Alertă COVID: temeri că a apărut o nouă variantă, după estimările care indică un milion de cazuri pe zi, în China23 Dec
Directorul OMS, îngrijorat din cauza situaţiei COVID-19 din China | Sunt tot mai multe forme grave ale bolii21 Dec
Lista centrelor de vaccinare în care se administrează noul vaccin COVID-19 eficient și pentru subvariantele Omicron15 Dec
Creierul adolescenților, afectat negativ de lockdown, în pandemie. Au îmbătrânit cu trei ani în câteva luni, arată rezultatele unui studiu06 Dec
Medicul Tudor Ciuhodaru: "La nivel european, pașaportul digital COVID-19 este încă în funcțiune și oricând poate să reapară"25 Noi
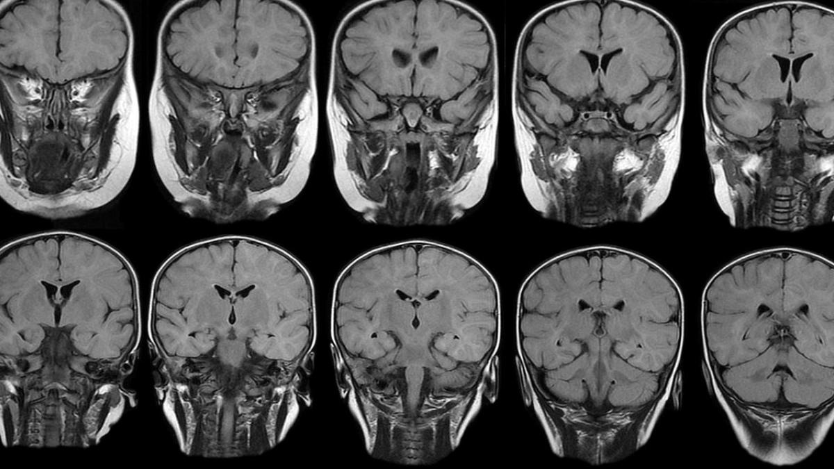
Anomalii semnificative la creier, în cazul celor vindecați de COVID-19, descoperite de oamenii de știință21 Noi
Ce este sindromul post-COVID. Dr. Virgil Musta: "Peste 58% dintre persoanele care au trecut prin COVID acuză cel puţin un simptom"18 Noi
Riscul de deces, spitalizare și probleme grave cauzate de COVID-19 este mult mai mare în cazul reinfectării10 Noi
Bilanț COVID-19 din 10 noiembrie 2022, în România. Bebeluș de 3 luni, fără alte afecțiuni, a murit de COVID-1910 Noi
Scădere cu 90% a numărului de decese asociate COVID-19, față de iarna trecută, raportată de OMS09 Noi
China a ordonat carantinarea zonei din jurul celei mai mari fabrici de iPhone din lume, după descoperirea unui focar COVID-1902 Noi
China a închis forțat mii de vizitatori în parcul Disneyland din Shanghai pentru a-i testa anti-Covid31 Oct
Bilanţ COVID-19 din 30 octombrie 2022, în România. Sute de români s-au îmbolnăvit în ultimele 24 de ore30 Oct
Bilanţ COVID-19 din 28 octombrie 2022, în România. Sute de români s-au îmbolnăvit în ultimele 24 de ore28 Oct