ANTENA 3 CNN
Video
Live TV
ACTUALITATE
Educaţie
Mediu
Meteo
Social
Locale
Justiţie
Cultură
POLITICĂ
Alegeri prezidenţiale 2025
Caravana Antena 3 CNN
Alegeri prezidenţiale 2024
Alegeri parlamentare
Alegeri europarlamentare
Alegeri locale
EXTERNE
Alegeri SUA 2024
Mapamond
Diaspora
Uniunea Europeană
Război în Israel
ECONOMIC
Safe Income
Companii
Bănci
Imobiliare
Auto
Brand de țară
OPINII
Arena politică
SPORT
JO 2024
Formula 1
LIFE
Enaque&Nujord
Sănătate
Timp Liber
Viaţa sănătoasă
Horoscop
Ştiinţă
Lumea Animalelor
Film
Culinar
ALIAT
NATO
SUA
Europa
Travel
VIDEO
High-Tech
Galerii foto
CONFERINȚE
Conferinţele România Inteligentă
Conferinţele RO 3.0
Dezvoltăm România sustenabil
Emisiuni
Sinteza Zilei
În Gura Presei
News Hour with CNN
Top News
The week with CNN
Cod Roşu
Zona Zero
În faţa naţiunii
Ora de foc
Subiectiv
România Inteligentă
Be EU
Exces de putere
Voi cu Voicu
Sfat de Sănătate
Vremea
Ştiri de ultima oră
Program TV
Promo
Contact
Publicitatea Politică
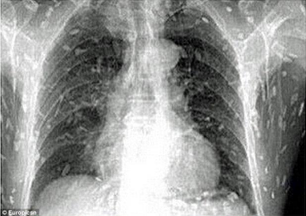
A ajuns la urgenţe cu dureri de stomac şi o senzaţie de mâncărime pe întreg corpul. Ce au descoperit medicii în corpul său i-a lăsat fără cuvinte
Publicat la 13:01 25 Sep 2014
Foto: Europicsn
Foto 1/3
» Înapoi la articol
» Mai multe galerii foto
x close