Povestea unei femei de 81 de ani. Este singura locuitoare a unei insule. „Se simte liniștită când este acolo”15.02.2019 - 12:23
Circ la Parchetul General. Victor Ponta, la ieșirea de la audieri: Am spus adevărul15.02.2019 - 11:51
VREMEA. Prognoza meteo pentru weekendul 16-17 februarie. Meteorologii anunță temperaturi de primăvară15.02.2019 - 11:38
Detalii șocante despre profesoara de engleză din Alba, care a întreținut relații intime cu un elev15.02.2019 - 11:32
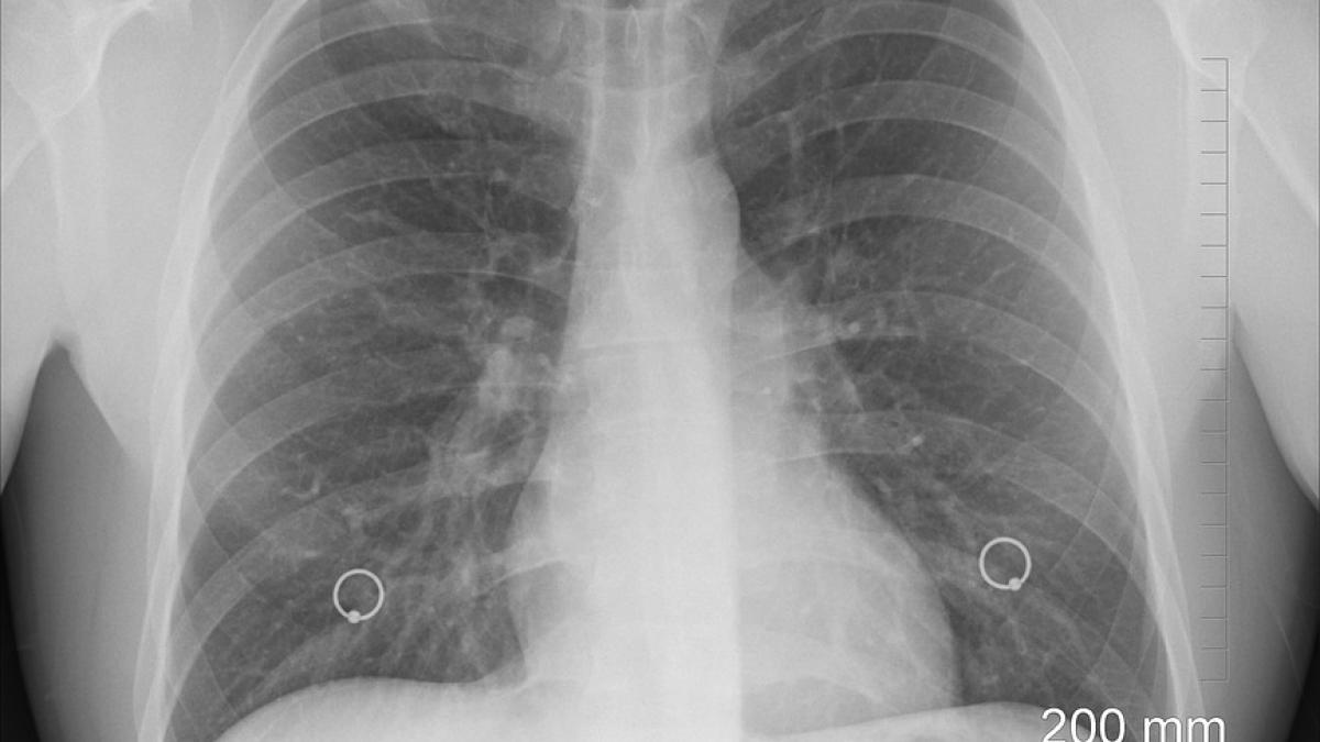
Fata a ajuns în camera de internat unde era cazată. Câteva ore mai târziu, a fost găsită inconștientă. Radiografia efectuată de medici a scos la iveală ce făcuse de fapt adolescenta: „Erau 13”15.02.2019 - 10:57
PSD: Guvernul va emite o ordonanţă de urgenţă care să reglementeze corect majorările de alocaţii pentru copii15.02.2019 - 10:43
Șerban Nicolae, despre audierea lui Kovesi: Toată această încrengătură de minciuni, ascunde altceva, plângeri împotriva ei au mai fost15.02.2019 - 10:33
HOROSCOP. Ce înseamnă pentru tine Luna Plină de Zăpadă din 2019. Sunt afectate toate zodiile15.02.2019 - 10:31
Fost șef SPP, sesizare către CSM: Iohannis a încălcat grav independența magistraților15.02.2019 - 10:26
Falsul medic de la Spitalul Judeţean Ilfov a fost în sala de operaţie şi la naşteri din clinici private15.02.2019 - 10:08
Avocatul Gheorghe Piperea, despre audierea lui Kovesi: E un concurs de infracțiuni care ar putea determina o pedeapsă chiar de 10 ani. Există un domn filosof care a numit-o „slujirea”15.02.2019 - 10:06
Accident neobișnuit în Arad. O mașină a căzut de pe un pasaj rutier, de la o înălţime de şase metri15.02.2019 - 09:43
Adrian Neacșu, avocat : Kovesi ar fi trebuit să păstreze discreția, care ”este o obligație”15.02.2019 - 09:23
HOROSCOP 15 februarie, cu astrologul Camelia Pătrășcanu. Taurii au o zi cu surprize financiare, Gemenii scapă de o situație neplăcută15.02.2019 - 08:59
Anchetă fără precedent a Consiliului Concurenţei în județul Botoșani, pentru ”cornul și laptele”15.02.2019 - 08:42
Alex a murit pe scaunul frizerului, la Târgu Jiu. Poliţiştii au deschis dosar de moarte suspectă. „A apucat să spună că îi e rău”15.02.2019 - 08:23
Mircea Badea, despre mitingul de susținere a lui Kovesi: Spuneau că sunt 100 de persoane, cu toți știm să numărăm până la 1015.02.2019 - 07:45
Andrei se urcase într-un tamvai din București și își găsise un loc, când a ridicat privirea. Preț de câteva secunde a încremenit. A crezut că nu vede bine. A scos imediat telefonul. „Îți trebuie câteva minute bune să înțelegi că e real” (FOTO) 15.02.2019 - 00:03
Fructul pe care nutriționistul Mihaela Bilic îl recomandă zilnic: „Accelerează metabolismul, înlătură oboseala și crește performanțele fizice și intelectuale”14.02.2019 - 23:41
Alertă de la Organizaţia Mondială a Sănătăţii: Numărul cazurilor de rujeolă s-a dublat la nivel mondial14.02.2019 - 23:24
Simona Halep, reacţie după calificarea în semifinale la turneul din Doha: Va fi o provocare grea14.02.2019 - 23:23
Imagini inedite în Parlament. Varujan Vosganian, surprins urmărind un meci de box, în timpul ședinței pentru buget - VIDEO14.02.2019 - 23:09
Cum arată corpul unei mame de tripleți înainte și după naștere? Fotografii sincere care dezvăluie adevărul14.02.2019 - 22:56
O fată de 13 ani din Bistrița a înghițit 14 ace, o parte dintr-un pix și o monedă. Se certase cu iubitul14.02.2019 - 22:34
Elena Udrea rupe tăcerea în scandalul Kovesi-Ghiță: Laura Codruța Kovesi primea cadouri de la politicieni14.02.2019 - 22:15
Un violator în serie din Suceava a fost prins după aproape cinci luni în care a făcut mai multe victime14.02.2019 - 22:05
Bugetul SRI se diminuează cu 295 de milioane de lei. Amendamentul a fost adoptat în Parlament14.02.2019 - 22:00
Sebastian Ghiță, despre denunțul împotriva lui Kovesi: Am dat poze și filme la Parchet. Pentru operațiunea Jakarta s-a deschis dosar14.02.2019 - 21:39