Antena 3 CNN Externe O femeie a tuşit atât de rău încât şi-a fracturat o coastă

O femeie a tuşit atât de rău încât şi-a fracturat o coastă

<1 minut de citit Publicat la 14:19 20 Ian 2018 Modificat la 14:19 20 Ian 2018
o_1c49o3v151r0n1ijmpc311lob778.jpg
Foto: pixabay.com

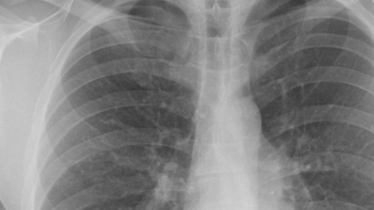
O femeie, în vârstă de 66 de ani din Massachusetts, Statele Unite, şi-a fracturat o coastă după un acces de tuse.

Pe partea intercostală dreaptă s-a observat vânătaia care indica un traumatism sever, iar analizele tomografice au arătat că a noua coastă era fracturată, scrie Live Science.

Femeia avea tuse convulsivă, care este o boală respiratorie cauzată de bacteria numită Bordetella pertussis.

Acesteia i-a fost administrat opt ani mai devreme un vaccin numit Tdap pentru tuse.

După fractură, a fost tratată cu un antibiotic şi a avut nevoie de operaţie pentru a-i repara coasta fracturată.

Ştiri video recomandate
×
Etichete: tuse femeie coasta

Fanatik

Antena Sport

Observator News

Longevity Magazine

Parteneri
x close