Actorul Adam Brown, din „Pirații din Caraibe” și „Hobbitul” vine la București, la East European Comic Con13.02.2019 - 08:27
HOROSCOP Valentine's Day. Cele patru zodii care vor trece printr-o schimbare majoră13.02.2019 - 00:25
Iubitul ei și-a dorit pe patul de moarte să se însoare cu ea. La câteva zile după ce bărbatul s-a stins din viață, femeia a primit un mesaj neașteptat de la el. „Mereu m-am temut de asta”13.02.2019 - 00:15
Soacra s-a îndrăgostit de ginerele său și a vrut cu orice preț să-l cucerească. Într-o zi, în timp ce fiica sa era la baie, femeia i-a luat telefonul și a început să facă ceva inexplicabil. „E umilitor”13.02.2019 - 00:12
Ce se întâmplă dacă cineva aprinde o lumânare invers pentru tine. Este mai rău decât îți imaginezi!13.02.2019 - 00:04
Mircea Badea a făcut anunțul: Un grup din Parlamentul European se va opune candidaturii lui Kovesi12.02.2019 - 23:57
Un şoarece se plimba nestingherit pe sub mese la un mall din Deva. Ce au făcut angajatele centrului comercial - VIDEO12.02.2019 - 23:11
Tăriceanu, despre candidatura lui Kovesi în funcția de șef al Parchetului European: M-aș fi bucurat și eu dacă nu știam ce a făcut în România12.02.2019 - 23:03
Alertă în Capitală! Un bărbat se plimba haotic cu un pistol în mână. Polițiștii l-au imobilizat imediat12.02.2019 - 22:14
Accident grav în Harghita. O persoană a murit, iar alte două sunt grav rănite după ce o autoutilitară s-a izbit puternic de un autocamion12.02.2019 - 22:03
Numirea făcută de premierul Dăncilă la Ministerul Dezvoltării, după ce Lia Olguța Vasilescu și-a anunțat retragerea12.02.2019 - 21:34
Epidemie de gripă. Alte patru persoane au murit! Numărul celor decedaţi a ajuns la 11312.02.2019 - 21:32
Culmea generozităţii în Irlanda! Un român a dat gratis 5.000 de euro pe stradă. VIDEO12.02.2019 - 21:27
Burse de până la 300 de lei lunar în liceele din România! Care sunt elevii norocoşi12.02.2019 - 21:26
A câștigat milioane la LOTO, iar acum își caută iubit de Sfântul Valentin. Cât oferă o tânără pentru o relație12.02.2019 - 21:25
Guvernul turc a luat o măsură neaşteptată pentru a combate creşterea alarmantă a preţului legumelor12.02.2019 - 21:23
Zamfir: Nu am un război personal cu Isărescu. Mecanismul legat de ROBOR se va schimba12.02.2019 - 20:57
"Sfatul unui preot m-a ajutat să-mi ridic soțul de pe canapea, iar câteva zile mai târziu avea de două joburi"12.02.2019 - 20:47
Victor Ponta, reacție după ce Olguța Vasilescu a renunțat la funcția de ministru al Dezvoltării: Știe că a fost lucrată12.02.2019 - 20:37
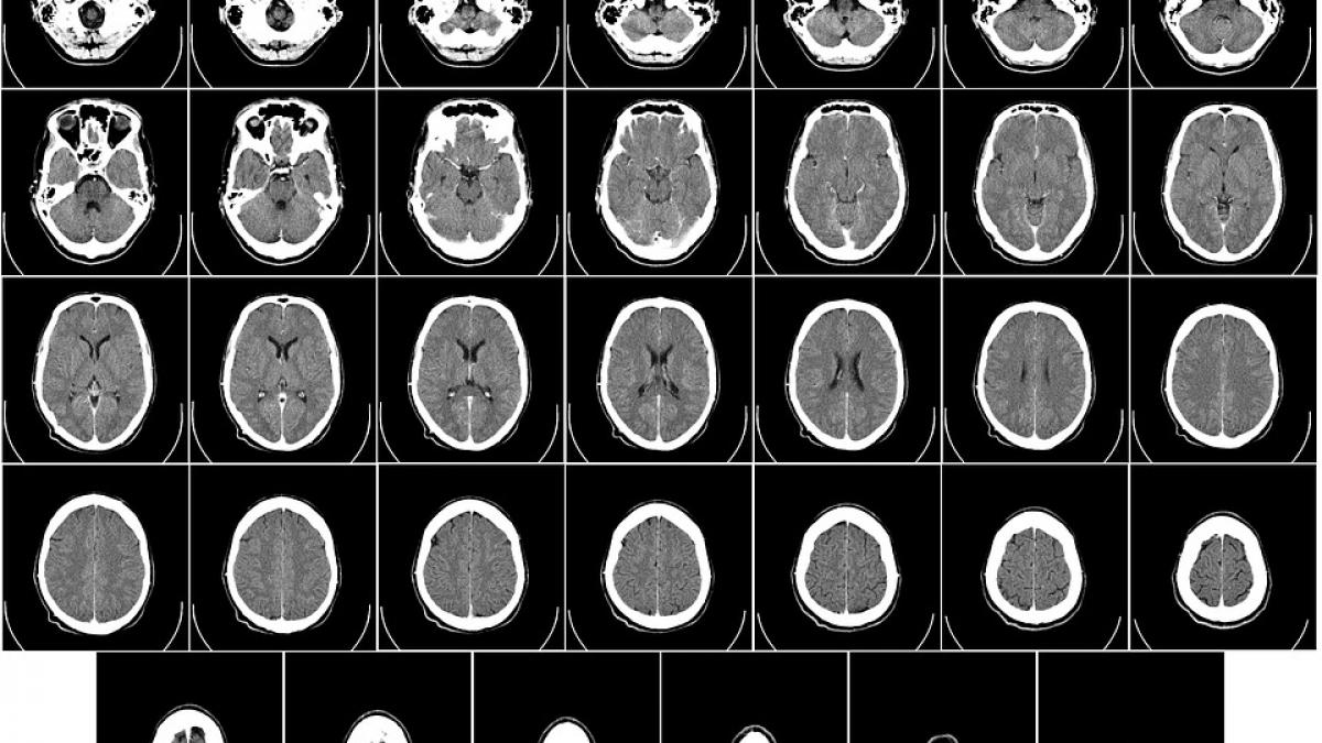
Uluitor! Ce au descoperit cercetătorii după ce au scanat creierul pedofililor: "E uriaşă..."12.02.2019 - 20:17
Olguţa Vasilescu: Îmi retrag candidatura pentru funcția de vicepremier și ministru al Dezvoltării12.02.2019 - 20:03
George Clooney o compară pe ducesa Meghan cu prinţesa Diana. Ce asemănări a găsit. "Istoria se repetă"12.02.2019 - 19:50
Ministrul Afacerilor Externe, la Punctul de întâlnire: La Deveselu nu există rachete nucleare12.02.2019 - 19:17
Wizz Air, atenționare pentru pasageri. Toți călătorii care au bilet pe 13 februarie în Bruxelles trebuie să își anuleze zobrurile12.02.2019 - 19:07
Ministrul Educaţiei: Şcolile trebuie să aibă cantină, în care noi să dăm masa caldă copiilor12.02.2019 - 18:56
Iată care au fost prețurile apartamentelor în 2018, în cele mai mari orașe din România. Cât au dat românii, în funcție de cartier, în Cluj, București și Timișoara12.02.2019 - 18:54
Ministerul Apărării, precizări în scandalul avioanelor de luptă: Era vorba doar de o procedură. Toate aeronavele sunt operaționale12.02.2019 - 18:46
Explicația unui fenomen meteo ciudat surprins într-o livadă din SUA - "Sunt mere fantomă"12.02.2019 - 18:41
EURESPAL. Un cunoscut medic, despre siropul de tuse EURESPAL care a fost scos de pe piață: „Ar putea provoca afecțiuni cardiace”12.02.2019 - 18:37