Alexandru Cezar Andriţoiu a explicat pe pagina sa de socializare că există multe forme atipice de Covid-19 şi că ar trebui ca autorităţile să schimbe definiţia de caz existentă pentru a putea eficientiza diagnosticarea celor infectaţi cu SARS-CoV-2.
"Forme atipice de Covid-19. Toţi medicii care se confruntă cu patologia Covid-19 ar trebui să se gândească la această boală şi în cazul unui pacient cu simptome ,,ciudate" apărute în plină stare de sănătate! Unii mă vor întreba ce înţeleg prin simptome ciudate! Medicii înteleg ce spun! Astăzi am depistat un caz de Covid 19 la o pacientă relativ tânără, fără febră, fără tuse..fără niciun simptom considerat tipic sau sugestiv pentru Covid-19! Faptul ca am folosit ecografia pulmonară ce mi-a relevat modificări sugestive, m-a convins de necesitatea unui examen CT pulmonar. Examinarea tomografică a fost concludentă. Ulterior, a urmat şi confirmarea serologică.
Simptomele pacientei erau doar astenie marcată, ameţeli, somnolenţă. Saturaţia in oxigen 98%! Fără comorbidităţi!", a scris medicul care activează în cadrul Spitalul Clinic de Urgenţă Militar „Dr.Ştefan Odobleja“, din Craiova.
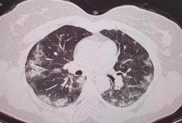
Modificări aduse plămânilor de SARS-CoV-2
În postarea sa, medicul a arătat şi explicat modificările suferite de plămânii unei paciente confirmate cu Covid-19.
![]()
"Opacităţi "în sticla mată" dispuse la periferia plămânilor...foarte concludente...", a explicat dr. Alexandru Andriţoiu
![]()
"Imagine de ecografie pulmonară cu o bandă albă în spatele pleurei -Linii B confluente- sugestivă pentru inflamaţia alveolo-interstiţială", a scris medicul.
Dr. Alexandru Andriţoiu susţine că autorităţile ar trebui să elaboreze un Registru Naţional în care să fie trecute inclusiv formele atipice pentru a putea fi ajutaţi toţi pacienţii.
"Concluzie: este nevoie de un Registru National de semne si simptome tipice si atipice ale infecţiei cu noul coronavirus! Definiţia de caz folosită în prezent este o aiureală!", a spus medicul militar, care încă de la începutul pandemiei, a acizat autorităţile că gestionează prost criza coronavirusului.
