Antena 3 CNN Life Știinţă Testul care demonstrează că radiologii pot omite detalii vitale. Tu vezi gorila din imagine?

Testul care demonstrează că radiologii pot omite detalii vitale. Tu vezi gorila din imagine?

<1 minut de citit Publicat la 10:21 13 Feb 2013 Modificat la 10:21 13 Feb 2013
Testul care demonstrează că radiologii pot omite detalii vitale. Tu vezi gorila din imagine?
Foto: Daily Mail
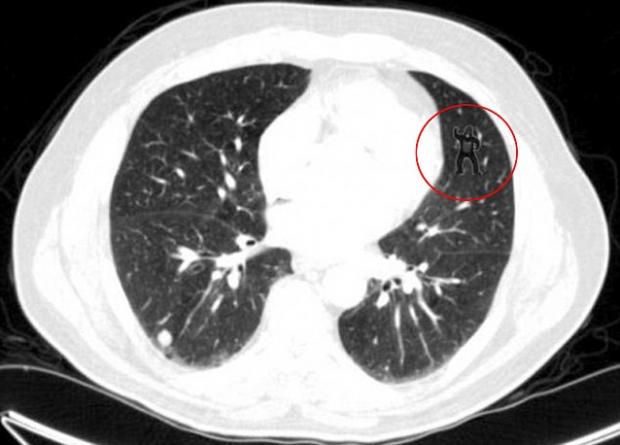
Un studiu psihologic condus de cercetătorii unui spital din SUA a arătat că peste 83% dintre radiologi nu au văzut gorila care apare în imaginea de mai jos. Şi asta cu toate că au privit-o în mod insistent şi repetat.

Studiul are ca scop scoaterea în evidenţă a „orbirii neintenţionate”, mai exact a faptului că radiologilor le pot scăpa detalii care se află chiar în faţa ochilor.



Testul gorilei a fost realizat cu ajutorul a 24 de radiologi care au fost rugaţi să examineze radiografiile a cinci pacienţi (4 sănătoşi şi unul care suferea de cancer la plămâni), arată Daily Mail.

Primele patru radiografii aparţineau persoanelor sănătoase. Gorila era „ascunsă” în 5 imagini consecutive dintr-un calup de 239 de imagini cu radiografii ale persoanei bolnave.






 

 

 

Ştiri video recomandate
×

Fanatik

Antena Sport

Observator News

Longevity Magazine

TOP articole
Parteneri
x close